Comprehensive oral exam
Get a Fast and Beautiful Smile Makeover with Porcelain Veneers
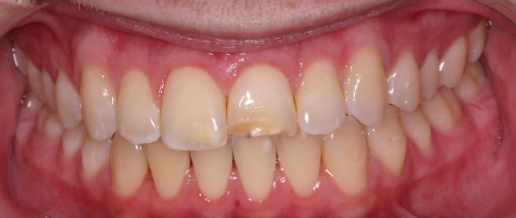
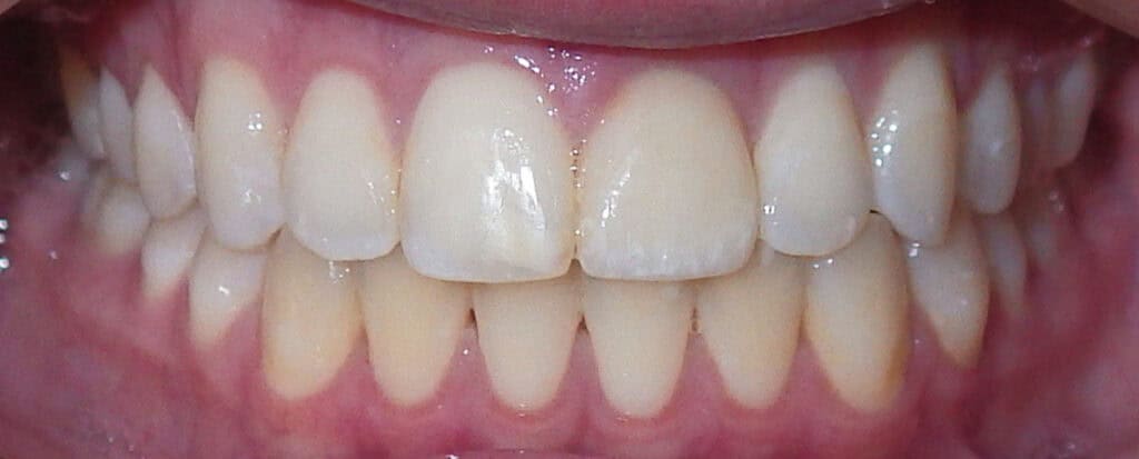
One of the quickest and most effective ways to transform your smile is with dental veneers. These thin ceramic coverings permanently enhance the appearance of your teeth and correct minor structural flaws.
Dr. Chavez is an accomplished cosmetic dentist with over 30 years’ experience in transforming smiles. He has placed thousands of veneers.
Schedule an appointment for a cosmetic consultation with Dr. Chavez and find out how veneers can give you the smile you desire.

Schedule Your Porcelain Veneer Consultation!
Dr. Chavez welcomes new patients and offers a new patient consultation for $59. Find out more about porcelain veneer treatment. The exam and consultation are very comprehensive and you’ll get a clear idea of the treatment you need and your options. This offer includes:
They Look Like Real Teeth!
Veneers can whiten, reshape, or cover minor chips and crookedness. They’re a highly efficient solution for achieving your desired beautiful, natural-looking smile.
Dr. Chavez ensures your veneers seamlessly blend with the rest of your teeth, giving you a beautiful, natural-looking smile.
Our Porcelain Veneers Procedure
Dr. Chavez takes digital scans and photos of your teeth and dicusses with you your goals for your smile and what shape and size you want your veneers to have. Together you’ll pick a color shade that will best complement your features and give you a natural look.
Once your veneers have been designed, you’ll come in to get your teeth prepared for the procedure. Because Dr. Chavez uses ultra-thin veneers and is very conservative in his approach, only the very minimal amount necessary of the surface of your enamel will be shaved down to create the space and rough surface for the efficient attachment of the veneers. He takes digital impressions of your teeth to create the final veneers, and places highly aesthetic and natural-looking temporary veneers while the permanent ones are being made and perfected.
After one to two weeks you’ll receive your custom-made final veneers. Dr. Chavez will make sure that the veneers fit well, are comfortable and look great—making any adjustments as needed.
Sometimes, Dr. Chavez can prepare and place your veneers for you in a single visit using the CEREC in-office design and milling system.
Veneer FAQs
Dental veneers typically last 10 to 15 years or even longer with proper care. Their lifespan depends on the material used (porcelain veneers generally last longer than composite), your oral hygiene habits, and lifestyle choices. Regular dental checkups and good home care can help maximize their longevity.
It’s similar to caring for natural teeth. Brush twice a day, floss, visit your dentist regularly, and avoid biting hard objects like ice, pens, or fingernails.
Most patients experience little to no discomfort during the veneer process. Local anesthetic is often used when preparing your teeth, so you should feel minimal pain. After placement, you might have temporary sensitivity to hot or cold, but this usually fades quickly. Dr. Chavez will make sure you’re comfortable every step of the way.
Yes! Veneers are a popular solution for chipped, worn, slightly crooked, or unevenly spaced teeth. They can instantly improve your smile’s shape, color, and alignment. However, Dr. Chavez may recommend orthodontic treatment before veneers for more severe misalignment or bite issues. A consultation will determine the best option for your unique needs.