
Comprehensive oral exam

We provide comprehensive, full-service dental care in the comfort of a single office. In addition to providing high-quality general dentistry, Dr. Chavez also transforms patients’ smiles with dental implants, cosmetic smile makeovers, and full-mouth reconstructions. See below for our Featured Treatments.







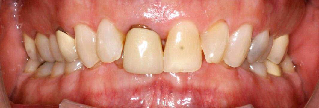
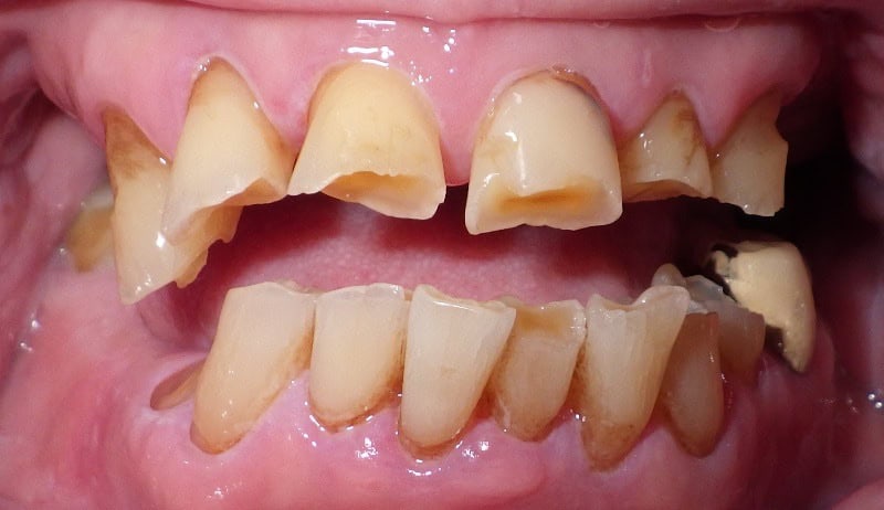
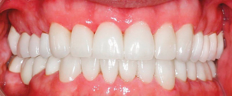
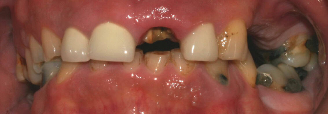
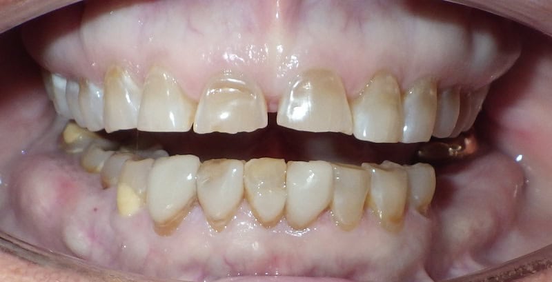
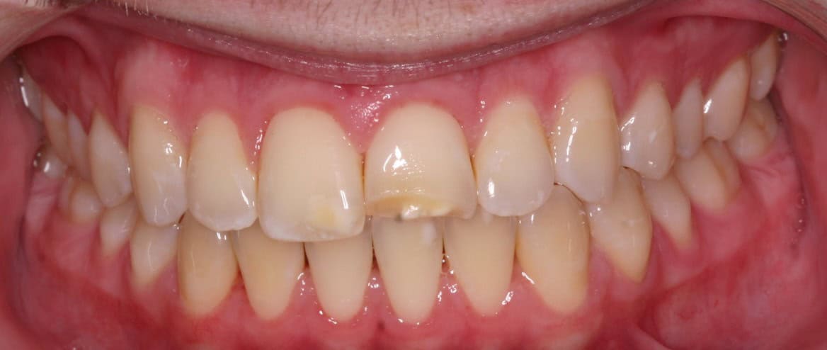
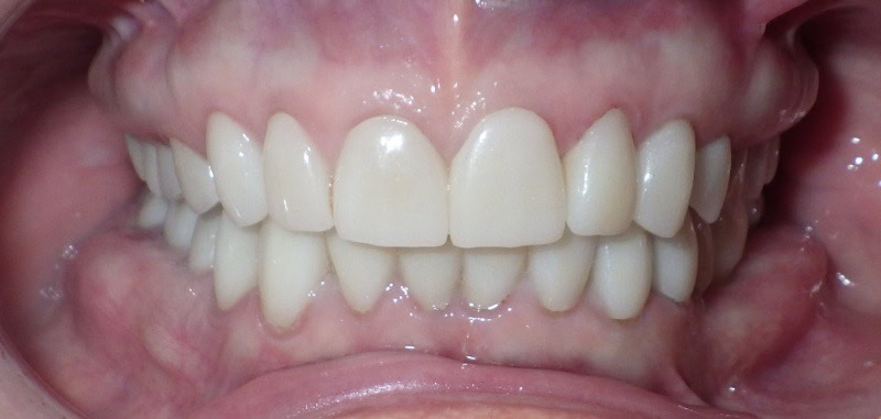
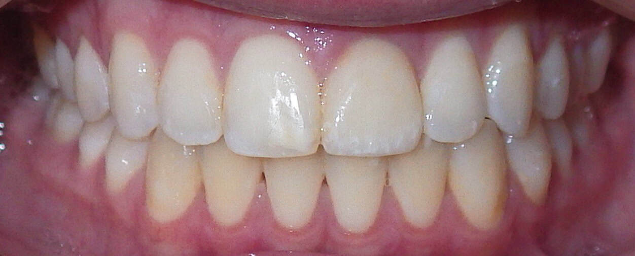
Dr. Chavez provides full-mouth reconstruction options for patients with broken-down or missing teeth, including both fixed and snap-in implant-supported dentures. These advanced treatments are designed to restore comfort, confidence, and long-term oral health.
Snap-in implant dentures are removable but lock securely into place on dental implants. They prevent slippage, improve chewing strength, and allow you to speak and eat with confidence.
For patients seeking a truly permanent solution, fixed implant-supported dentures offer the highest level of stability and aesthetics. These teeth are securely attached to dental implants and never need to be removed, giving you the strength and feel of natural teeth. Each smile is carefully designed to achieve the perfect balance between function and aesthetics.
Dr. Chavez utilizes advanced technology and precise implant placement to create full-arch restorations that are both aesthetically pleasing and functionally superior, providing lasting comfort and optimal performance.

We understand that comfort is just as important as quality when it comes to your dental experience. Our team takes time to listen, explain, and ensure you feel completely at ease throughout your visit. Every detail of our office is carefully designed to create a calm and welcoming environment, from our relaxing treatment rooms to our friendly and attentive staff.
We also utilize sedation dentistry and advanced technology and gentle techniques to ensure your care is efficient, precise, and minimally invasive, allowing you to enjoy a healthier smile without unnecessary stress or discomfort.

Our use of advanced technology allows us to provide a wide range of efficient, minimally invasive procedures. Dr. Chavez uses digital X-rays (pictured) that emit 80% less radiation than traditional X-rays. Panoramic, intraoral, and extraoral cameras capture high-resolution images of your entire mouth.
Soft-tissue lasers make gum treatments gentler and faster while also speeding up healing. The Wand® device ensures injections are virtually unnoticeable. We use digital scanners to capture precise, goop-free impressions.
These state-of-the-art dental tools mean you’ll spend less time in the dentist’s chair, without compromising the quality of your care.












